Кистозное расширение в арахноидальном пространстве — важная медицинская проблема, влияющая на здоровье пациента. Это состояние связано с образованием жидкостных кист, которые могут сжимать окружающие структуры и вызывать неврологические симптомы. Понимание механизмов формирования, диагностики и лечения кистозных образований критично для неврологов и нейрохирургов, а также для пациентов с такими заболеваниями. Статья освещает ключевые аспекты этой патологии, что поможет улучшить диагностику и лечение.
Смотрите, какая тема — Размеры арахноидальной кисты — норма и когда нужна операция?
Арахноидальная киста представляет собой скопление ликвора — спинномозговой жидкости, которая может оказывать негативное воздействие на головной мозг и его функции (ликворная киста). В данной статье мы рассмотрим размеры арахноидальной кисты и обстоятельства, при которых может потребоваться хирургическое вмешательство.
Причины формирования арахноидальной кисты могут быть как врожденными, связанными с процессами внутриутробного развития и приемом неподходящих медикаментов беременной, так и приобретенными, возникающими в результате заболеваний, травм или других патологических состояний. Большинство людей с данным диагнозом могут вести нормальную жизнь, не подозревая о наличии у себя арахноидальной кисты.
Эксперты в области нейрохирургии и неврологии отмечают, что кистозное расширение в арахноидальном пространстве представляет собой важную клиническую проблему, требующую внимательного подхода. Это состояние может быть связано с различными неврологическими симптомами, включая головные боли, нарушения зрения и эпилептические припадки. Специалисты подчеркивают, что диагностика таких кист часто осуществляется с помощью магнитно-резонансной томографии, что позволяет точно определить их размеры и локализацию. Лечение может варьироваться от наблюдения до хирургического вмешательства, в зависимости от клинической картины и динамики состояния пациента. Важно, чтобы лечение проводилось в рамках мультидисциплинарной команды, что обеспечивает комплексный подход к каждому случаю.
Ратроцеребеллярная киста
Ратроцеребеллярный вид располагается в дальней зоне головного мозга и может разрушительно влиять на его ткани, что является источником порождения отмирания клеток. Его появлению предшествуют такие факторы, как инсульт, энцефалит, нарушенное кровоснабжение головного мозга и прочие обстоятельства. Локализуется в толще головного мозга, где ранее на месте погибло серое вещество.
Оба вида кист: арахноидальную и ратроцеребеллярную в головном мозге относят к доброкачественным опухолевым новообразованиям, и протекает их развитие бессимптомно.
| Аспект | Описание | Значение для пациента |
|---|---|---|
| Определение | Кистозное расширение в арахноидальном пространстве (арахноидальная киста) – это доброкачественное, заполненное спинномозговой жидкостью образование, расположенное между арахноидальной и мягкой мозговой оболочками. | Понимание природы образования помогает снизить тревожность и способствует принятию информированных решений о лечении. |
| Причины возникновения | В большинстве случаев арахноидальные кисты являются врожденными (первичными), возникающими из-за аномалий развития арахноидальной оболочки. Реже они могут быть приобретенными (вторичными) в результате травм, инфекций, кровоизлияний или опухолей. | Знание причины может помочь в прогнозировании течения заболевания и определении тактики наблюдения или лечения. |
| Симптомы | Часто протекают бессимптомно и обнаруживаются случайно. При увеличении размера или давлении на окружающие структуры могут вызывать головные боли, головокружения, судороги, нарушения зрения, слуха, координации, а также гидроцефалию. | Симптомы являются ключевым фактором для определения необходимости медицинского вмешательства. Важно своевременно обращаться к врачу при их появлении. |
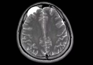
| Диагностика | Основные методы диагностики – магнитно-резонансная томография (МРТ) и компьютерная томография (КТ) головного мозга. Эти исследования позволяют точно определить размер, локализацию и характеристики кисты. | Точная диагностика необходима для дифференциации арахноидальной кисты от других образований и выбора оптимальной стратегии лечения. |
| Лечение | Бессимптомные кисты обычно не требуют лечения, а лишь динамического наблюдения. При наличии симптомов или увеличении кисты может быть рекомендовано хирургическое вмешательство (фенестрация, шунтирование) для уменьшения давления. | Решение о лечении принимается индивидуально, исходя из симптоматики, размера кисты и ее влияния на качество жизни. |
| Прогноз | В большинстве случаев прогноз благоприятный, особенно при бессимптомном течении. После успешного лечения симптоматических кист большинство пациентов возвращаются к нормальной жизни. | Положительный прогноз является обнадеживающим фактором и способствует психологическому комфорту пациента. |
Интересные факты
Кистозное расширение в арахноидальном пространстве, также известное как арахноидальная киста, представляет собой интересный медицинский феномен. Вот несколько фактов, связанных с этой темой:
-
Частота и происхождение: Арахноидальные кисты встречаются довольно часто и могут быть как врожденными, так и приобретенными. Врожденные кисты формируются в процессе эмбрионального развития, тогда как приобретенные могут возникать в результате травм, инфекций или других заболеваний, таких как менингит.
-
Симптоматика и диагностика: Многие арахноидальные кисты не вызывают симптомов и обнаруживаются случайно при проведении нейровизуализации (например, МРТ) по другим причинам. Однако в некоторых случаях они могут вызывать головные боли, судороги или неврологические нарушения, если начинают сдавливать окружающие структуры мозга.
-
Лечение и прогноз: Лечение арахноидальных кист зависит от их размера, расположения и наличия симптомов. В большинстве случаев, если киста не вызывает проблем, она может просто наблюдаться. Однако в случаях, когда киста вызывает симптомы или увеличивается в размерах, может потребоваться хирургическое вмешательство, такое как дренирование или резекция.
Эти факты подчеркивают важность понимания арахноидальных кист и их потенциального влияния на здоровье пациента.
Симптомокомплекс
Проявление симптомов в значительной степени зависит от места расположения и размера кистозного образования. Когда киста увеличивается и начинает давить на определенные участки головного мозга, у пациента могут возникнуть следующие проявления:
- сильная головная боль;
- внезапные приступы головокружения;
- резкие эпизоды тошноты и рвоты;
- постоянное чувство усталости;
- сонливость и галлюцинации;
- нарушения координации движений;
- проблемы со зрением и слухом;
- судороги и эпилептические припадки.
Среди наиболее значимых симптомов выделяются судороги, галлюцинации, частичный паралич и нарушения психической деятельности. При наличии таких признаков крайне важно незамедлительно обратиться за медицинской помощью и пройти полное обследование для определения дальнейшей стратегии лечения.
Как поставить диагноз?
Для этого организовывается лабораторное исследование, применяются инструментальные методы диагностики, магнитно-резонансная томограмма, компьютерная томография с контрастированием, доплерография сосудов.
Также к методам диагностики относят неврологический осмотр врача, сдачу анализов, в том числе и крови, измерение артериального давления.
Норма размеров и назначение операции
Нормой считается отсутствие кисты, в то время как наличие арахноидальной кисты, независимо от её размера, уже является отклонением. Арахноидальная киста может варьироваться по величине, однако её рост ограничен, так как давление жидкости в мозге препятствует её значительному увеличению.
При выявлении небольшого кистозного образования размером 1-2 мм врачи обычно рекомендуют наблюдение за изменениями в его объеме, чтобы определить, растёт ли арахноидальная киста. Это чаще всего происходит на начальных стадиях её развития. К кистам среднего размера относят образования объемом около 0,9-1 см, в то время как более крупные и серьезные случаи имеют размеры свыше 1 см и могут достигать 12 см.
Если арахноидальная киста у взрослого человека остается стабильной и не увеличивается, операция по её удалению не требуется. Врач предоставляет рекомендации и назначает регулярные ежегодные обследования для мониторинга состояния кисты.

Удаление кисты
Оперирование проводится несколькими методами:
- Способом пункции удаляют содержимое кисты. Это возможно при помощи вводимой через отверстие небольшого размера в черепе иглы.
- Метод шунтирования – проводится через специальную трубочку, по которой происходит отток жидкости из кисты в брюшную полость.
- Метод фенестрации – с помощью различного эндоскопического метода производится иссечение стенок кистозного образования для ее удаления.
- Также проводят нейрохирургическую операцию.
Арахноидальная киста головного мозга
…киста не относится к опухолям…
Арахноидальная киста головного мозга, которая является наиболее распространенным типом кист среди мозговых образований и встречается у 4% людей, представляет собой мешочек, заполненный ликвором (цереброспинальной или спинномозговой жидкостью). Этот мешочек располагается в арахноидальной оболочке мозга. В области кисты ткань арахноидальной оболочки разделяется на два слоя, между которыми скапливается жидкость.
Сделать МРТ головного мозга в Санкт-Петербурге
Важно помнить, что киста не является опухолью и в большинстве случаев либо протекает бессимптомно или с небольшими проявлениями и очень редко требует оперативного вмешательства.
По происхождению арахноидальные кисты могут подразделяться на:
- Первичные, сформировавшиеся в процессе внутриутробного развития;
- Вторичные, появляющиеся в результате травм, повреждений, воспалительных процессов или кровоизлияний в мозге.
По динамике развития существуют кисты:
- Прогрессирующие. Для этого типа кист характерно постепенное усиление симптомов, связанных с тем, что увеличивающаяся в объеме киста наращивает свое давление на мозг.
- Замершие. Эти образования отличаются стабильностью и обычно не доставляют беспокойств, часто протекают без симптомов и часть выявляются лишь случайно при проведении томографии мозга, вызванной другими причинами.
В зависимости от места расположения и размеров кисты могут проявляться один или несколько симптомов:
- Головная боль;
- Тошнота и рвота;
- Вялость, в том числе чрезмерная усталость или нидостаток энергии;
- Приступы;
- Задержки развития;
- Гидроцефалия, вызванная нарушением естественной циркуляции спинномозговой жидкости;
- Проблемы со стороны эндокринной системы, например, ранее начало полового созревания;
- Непроизвольная тряска головой;
- Проблемы со зрением.
Чем больше киста, тем больше симптомов будет проявляться, будет возрастать их частота и сила. При длительном и сильном сдавливании может привести к необратимым изменениям тканей мозга. При чрезмерной компрессии и разрыве оболочек кисты возможно наступление смерти пациента.
Диагностика и лечение арахноидальной кисты

Это может быть достигнуто разными методами, включающими:
- Шунтирование. При этом методе хирург устанавливает в кисту трубку (шунт) по которому жидкость отводится в другие части организма (например, брюшную полость), где она всасывается другими тканями.
- Фенестрация. В этом случае в черепе пациента и стенках кисты создаются отверстия для дренирования и обеспечения нормального потока спинномозговой жидкости.
- Игольная аспирация и соединение при помощи отверстий внутренней части кисты с субарахноидальным пространством для отвода в него жидкости.
Несмотря на то, что КТ позволяет точно определить размеры и расположение кисты, наиболее точную и полную информацию об образовании дает МРТ. Обычно для диагностики арахноидальной кисты проводится МРТ-сканирование с введением в кровоток пациента контраста.
При этом опухоли мозга имеют свойство накапливать контраст, а кисты не впитывают его из кровеносных сосудов, что очень четко видно на МРТ.
Также МРТ-сканирование позволяет отличить кисту от кровоизлияний, гематом, гигром, абсцессов и других заболеваний со сходной симптоматикой. Кроме того, МРТ дает возможность выявить кисту даже в тех случаях, когда у пациента еще нет никаких проявлений, а сама киста имеет размеры всего в несколько миллиметров.
Признаки и лечение арахноидальной ликворной кисты головного мозга
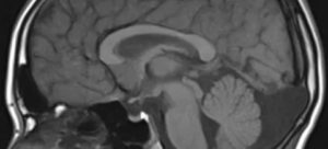
Арахноидальная киста представляет собой объемное образование в головном мозге, в основном заполненное спинномозговой жидкостью. Стенки этой кисты образуются из тканей паутинной оболочки или соединительной ткани. Полости располагаются в области между веществом мозга и паутинной оболочкой.
Наиболее часто такие кисты встречаются в ликворных цистернах, задней ямке черепа и височных долях. Они чаще всего диагностируются у мужчин и у детей.
Характеристика заболевания
Ликворная киста – это такое образование в тканях головного мозга, которое не является опухолью, что подтверждается морфологическим строением. Представляет собой изолированную от других структур мозга полость с жидким содержимым и плотными стенками.
Клинически значимыми считаются крупные кистозные образования, которые вызывают механическое сжатие, компрессию, деформацию окружающих тканей – мозгового вещества, путей оттока цереброспинальной жидкости, элементов кровеносной системы, снабжающей мозг.
Арахноидальные кисты – это такие образования, доля которых по результатам прижизненной инструментальной диагностики равна 1% от всех объемных процессов, протекающих в головном мозге, что меньше, чем выявляется в ходе аутопсий (5 случаев на 1000 больных). В норме у взрослых и детей арахноидальные ликворные кисты отсутствуют в тканях головного мозга, при их наличии степень влияния на здоровье определяют размеры. В зависимости от объема кистозной полости различают виды образований:
- Малые (объем не превышает 30 мл).
- Средние (объем не превышает 70 мл).
- Крупные (объем превышает 70 мл).
Крупные образования почти всегда ассоциируются с дислокацией (смещением) мозговых структур, что приводит к возникновению неврологического дефицита.
Супрасселярная (разрастающаяся вглубь черепа) форма считается наиболее опасной, потому что практически всегда вызывают окклюзию или гидроцефалию.
Лечение только гидроцефального синдрома в этом случае недостаточно из-за существенного сдавливания мозговых структур с появлением очаговой симптоматики.
Классификация патологии
-
Локализованная в Сильвиевой (латеральной) щели киста встречается в 34% случаев. Это врожденная аномалия. Симптоматика зависит от размера полости и степени смещения окружающих мозговых тканей. Чаще всего пациенты ощущают давление в области головы, которое сопровождается пульсацией и шумом в ушах при сохранении слуха. Также могут возникать судороги и нарушения зрения.
-
Супрасселярная киста встречается лишь в 2% случаев и также является врожденной. Полость чаще всего располагается в области перекреста зрительных нервов. Симптомы включают головокружение, проблемы со зрением и нарушения координации движений.
-
Киста, локализованная в боковом желудочке, встречается в 2% случаев и может быть как врожденной, так и приобретенной. Клинические проявления включают двигательные и зрительные расстройства, ухудшение слуха (нейросенсорная тугоухость), шум в ушах и дисфагию (проблемы с глотанием).
Церебеллярная киста, расположенная в области мозжечка, встречается в 32% случаев. Она проявляется нарушениями координации движений, изменением мышечного тонуса (гипотония) и нистагмом (чаще горизонтальным). У пациента наблюдается неустойчивая и шаткая походка.
Арахноидальная ликворная киста, расположенная в задней черепной ямке, вызывает глазодвигательные нарушения, такие как косоглазие, потеря полей зрения и паралич глазных нервов. Киста в области правой или левой лобной доли проявляется характерными симптомами: ухудшением когнитивных функций, изменением походки и речевыми нарушениями (афазия).
https://youtube.com/watch?v=c8dvuyulHck
Причины возникновения арахноидальной кисты
Точные причины возникновения не выявлены. Субарахноидальная киста – чаще врожденная патология системы циркуляции ликвора. Стенки объемного новообразования представлены тканью арахноидальной оболочки, содержимое – цереброспинальная или близкая по составу жидкость.
Врожденная арахноидальная киста, сформировавшаяся в головном мозге, считается истинной, относится к первичной форме патологии. По результатам УЗИ-диагностики в перинатальный период кистозные полости в мозге плода формируются в период 20-30 неделя развития. Ликворные кисты вторичной формы появляются в голове вследствие разных причин:
- Перенесенные заболевания инфекционной этиологии (менингит, энцефалит).
- Оперативное вмешательство в зоне головы.
- Черепно-мозговые травмы.
- Агенезия (утрата способности к полноценному развитию) мозолистого тела.
- Синдром Марфана. Генетически наследуемое заболевание, для которого характерна дисплазия (неправильное формирование) соединительной ткани.
Арахноидальные изменения ликворокистозного характера – это такой патологический процесс, который не сопровождается изменением структуры ткани на клеточном уровне, что подтверждает неопухолевую природу новообразования. Хирургическое удаление кистозного образования или его содержимого показано при наличии неврологической симптоматики и отсутствии терапевтических результатов после проведенного консервативного лечения.
Симптоматика
Симптоматика арахноидальной кисты, возникающей в головном мозге у новорожденных, зависит от ее расположения, степени отделенности от пространств, содержащих цереброспинальную жидкость, а также от расстояния до путей циркуляции ликвора. Ликворные кисты зачастую протекают без явных признаков, и их обнаруживают в детском или молодом возрасте. Обычно они выявляются случайно во время инструментального обследования, назначенного по другим причинам.
Неврологические проявления возникают в результате увеличения кистозного образования, когда появляется масс-эффект – заметное давление на соседние интракраниальные структуры. Симптомы наблюдаются у 20% пациентов с установленным диагнозом. Чаще всего проявления связаны с гидроцефальным синдромом, что приводит к возникновению общемозговой симптоматики:
- Головная боль.
- Тошнота и повторяющиеся рвотные позывы.
- Атаксия и нарушения двигательной активности.
- Гемипарезы и судороги.
- Изменения психо-эмоционального состояния.
Реже встречаются признаки локального поражения мозговых тканей, что часто связано с разрывом стенки кисты. У грудных детей к основным симптомам добавляются специфические признаки:
- Деформация черепных костей.
- Расхождение швов черепа.
- Выпячивание родничка.
- Вялость, апатия и повышенная сонливость.
- Потеря аппетита.
- Признаки поражения пирамидных путей (патологические рефлексы, парезы и параличи).
- Задержка психо-моторного развития.
Субарахноидальная киста, образовавшаяся в головном мозге, у детей может проявляться в четырех клинических вариантах. В зависимости от особенностей симптоматики течение арахноидальной кисты у ребенка бывает:
- Молниеносным (2% случаев).
- Острым (6% случаев).
- Хроническим (28% случаев).
- Ремиттирующим (2% случаев).
Симптомы могут проявляться через несколько недель после рождения или в более позднем детском и взрослом возрасте. Для данной патологии характерно псевдотуморозное течение (похожее на опухолевый процесс) и отсутствие признаков воспаления в мозговых оболочках.
Диагностика
- Рентгенография.
- Ангиография.
- УЗИ-диагностика.
- Нейросонография (назначают новорожденным).
- Электроэнцефалография.
Для точного выявления каналов сообщения между кистозной полостью и путями циркуляции ликвора используют методы: КТ- миелоцистернография и КТ- вентрикулография с введением контрастного вещества.
Картина арахноидальных изменений ликворокистозного характера в ходе исследований МР и КТ показывает наличие очагов с плотностью цереброспинальной жидкости, что подтверждает кистозную, неопухолевую природу образования.
В ходе инструментального исследования чаще наблюдается расширение желудочков и экстрацеребральных (изолировано расположенных в мозге) пространств, содержащих ликвор. Электроэнцефалография проводится до и после оперативного вмешательства. Во втором случае с целью определения результатов лечения и правильного подбора противосудорожных препаратов.
В ходе офтальмологического осмотра часто выявляется частичная атрофия диска зрительного нерва. В случае расположения арахноидальной кисты в области ЗЧЯ по результатам эхографии (ультразвуковое исследование) выявляются изменения, характерные для кистозных образований мозжечковой локализации. Дифференциальная диагностика проводится в отношении патологий и аномалий развития мозжечка.

Методы лечения
Тактика лечения арахноидальной кисты в головном мозге подбирается врачом индивидуально, принимая во внимание особенности течения заболевания и степень выраженности неврологических симптомов. В некоторых случаях может быть назначена симптоматическая консервативная терапия, в других — требуется хирургическое вмешательство. Оперативные методы лечения арахноидальной кисты включают:
- Шунтирование. Искусственное отведение содержимого кисты с помощью дренажной системы.
- Эндоскопическая фенестрация. Удаление части или всей кисты вместе со стенками через небольшой разрез в черепной кости или носовом проходе.
- Дренирование (игольная аспирация).
Операция может проводиться методом краниотомии (вскрытия черепной коробки) или с использованием эндоскопических технологий, включая установку традиционных или бесклапанных шунтов для отвода содержимого кистозной полости. Эндоскопический подход позволяет минимизировать травматизацию головного мозга. Краниотомия с полным удалением стенок кисты выполняется в случаях, когда наблюдается значительное давление на соседние мозговые структуры в определенной области. Операция шунтирования включает имплантацию шунта (искусственного сосуда для отвода ликвора) в полость кисты или в систему желудочков. Эндоскопические вмешательства направлены на создание соединения между кистозной полостью и цистернами желудочковой системы.
Среди возможных осложнений можно выделить кровоизлияния (в 4,5% случаев), инфекции, повреждения сосудисто-нейральных тканей и закупорку вентрикулярных катетеров, что может потребовать повторного хирургического вмешательства. Показаниями для операции являются:
- Увеличение размеров желудочков (по данным МРТ).
- Отек мозга в перивентрикулярной области (по результатам нейровизуализации).
- Гидроцефальный синдром (рвота, сильные головные боли, плохо поддающиеся лечению обычными обезболивающими, значительное увеличение размера головы и набухание родничка у младенцев).
- Ухудшение неврологического состояния.
После хирургического вмешательства у более чем 80% пациентов наблюдается улучшение клинической симптоматики. Противопоказаниями к хирургическому лечению ликворной кисты в головном мозге являются:
- Воспалительные процессы, независимо от локализации, находящиеся в стадии обострения или частичной ремиссии.
- Выраженная анемия — низкий уровень гемоглобина.
- Тяжелое состояние организма (нестабильная гемодинамика, затрудненное дыхание, кома, истощение).
Основные цели операции заключаются в восстановлении нормального кровообращения цереброспинальной жидкости, уменьшении размера кистозной полости и снижении внутричерепного давления.
Последствия и прогноз

Расширение субарахноидального пространства: чем опасно заболевание, норма, симптомы, диагностика, лечение
Расширение субарахноидального пространства представляет собой патологическое состояние, которое проявляется в увеличении промежутка между паутинной и мягкой оболочками головного мозга из-за нарушений в циркуляции цереброспинальной жидкости.
Данное заболевание чаще всего выявляется у детей, однако и у взрослых также возможно его развитие под воздействием различных заболеваний или травм. Успех лечения во многом зависит от стадии, на которой было установлено заболевание, но в целом прогноз остается положительным.
Головной мозг защищен тремя оболочками: твердой, паутинной и мягкой. Мягкая оболочка непосредственно соприкасается с мозговым веществом и отвечает за его питание. Паутинная оболочка соединена с другими оболочками мозга через соединительнотканные перегородки. В тех местах, где перегородок нет, располагаются цистерны.
Циркуляция спинномозговой жидкости происходит в четырех желудочках мозга (двух боковых, третьем и четвертом) и в субарахноидальном пространстве. Ликвор выполняет важные функции, такие как питание нейронов, удаление продуктов обмена веществ и механическая защита мозга.
Нормальный объем спинномозговой жидкости составляет 80-120 мл у детей и 120-160 мл у взрослых, при этом она обновляется 3-5 раз в сутки. На скорость ее циркуляции влияют такие факторы, как положение тела, частота сердечных сокращений и дыхания.
Расширение субарахноидального пространства происходит из-за затрудненного оттока ликвора. Жидкость накапливается в субарахноидальных пространствах, что приводит к увеличению размеров желудочков мозга. Механизмы, способствующие этому нарушению, могут быть различными: опухоль может механически блокировать пути для тока ликвора, а воспалительные процессы могут вызывать избыточную выработку цереброспинальной жидкости. В результате может наблюдаться повышение внутричерепного давления.
Степени расширения
Проявление симптомов нарушения зависит от выраженности расширения. Выделяют три степени тяжести заболевания:
- легкую – размер щели 1-2 мм;
- среднюю – до 4 мм;
- тяжелую – свыше 4 мм.
Обычно расширение субарахноидального пространства выявляют на второй или третьей стадии. Первая, как правило, проходит бессимптомно.
Симптомы заболевания
Увеличение субарахноидального пространства у взрослых проявляется рядом характерных симптомов:
- паралич мышц гортани, что приводит к нарушениям речи;
- потеря звучности голоса;
- сложности с глотанием;
- проблемы с зрением и слухом;
- интенсивные головные боли, особенно по утрам;
- тошнота и рвота, которые сопровождают головную боль;
- головокружение;
- повышенная сонливость или нарушения сна;
- деменция;
- ухудшение памяти;
- галлюцинации;
- трудности с ходьбой – пациент может имитировать шаги в лежачем положении, но при попытке встать у него возникает неуверенная, шаркающая походка;
- повышенная утомляемость.
У маленьких детей наблюдается аномальное увеличение объема черепа, вызванное гидроцефалией. Ранние симптомы включают:
- повышенная чувствительность к звуковым и световым раздражителям;
- частые срыгивания;
- различия в размере зрачков;
- косоглазие;
- нарушения сна;
- медленное заживление родничка;
- выпячивание родничка;
- беспокойное поведение в ответ на изменения погоды;
- тремор подбородка и конечностей.
https://youtube.com/watch?v=G4umLRKq9N0
Причины расширения
У грудных детей нарушение возникает вследствие врожденных пороков развития, родовых травм, опухолей мозга, инфекционных заболеваний.
В некоторых случаях субарахноидальное пространство и желудочки к двум годам ребенка приходят в норму.
Однако патология нуждается в постоянном контроле специалистов, которые смогут определить дальнейший прогноз болезни и в случае необходимости назначат лечение.
У взрослых людей расширение субарахноидального пространства возникает как последствие перенесенного инсульта, патологий сосудов, травм головы или позвоночника, инфекционных и простудных болезней, опухолевого перерождения клеток. Менингит, энцефалит, вентрикулит, туберкулез, воспаление носовых пазух – заболевания, поражающие головной мозг и способные вызвать нарушение циркуляции ликвора.
Заболевание может свидетельствовать о сопутствующем лептоменингите или арахноидите – воспалительных процессах в тканях мягкой и паутинной оболочках мозга. Вызвать воспаление способно длительное воздействие токсических веществ, например, алкоголя, мышьяка, свинца.
Особенности обследования мозга у детей
КТ и МРТ являются наиболее современными и эффективными методами диагностики, однако их использование для маленьких детей не всегда оправдано. Малышам до года сложно долго оставаться в неподвижном состоянии, поэтому в случаях, когда необходимо провести КТ или МРТ, детям может быть назначен наркоз.
Для диагностики расширения субарахноидального пространства у детей применяются следующие методы:
- Нейросонография – это ультразвуковое исследование головного мозга. Для его проведения требуется, чтобы у ребенка был открытый родничок. Процедура безопасна, занимает не более 15 минут, может проводиться несколько раз и не требует специальной подготовки. Интерпретацией результатов занимается врач-сонолог.
- Эхоэнцефалограция – метод ультразвукового исследования мозга, который подходит как для детей с закрытыми родничками, так и для взрослых. Исследование может проводиться в одно- и двумерных режимах. Этот метод позволяет выявить повреждения головного мозга и его смещение относительно черепа под давлением спинномозговой жидкости. Процедура не требует предварительной подготовки и безопасна для здоровья, однако ее точность оставляет желать лучшего.
С целью профилактики повреждений мозга, вызванных родовыми травмами, гипоксией или инфекциями, нейросонография проводится в роддомах. Кроме того, педиатры следят за ростом черепа у детей, что позволяет своевременно выявить гидроцефалию.
Лечение
В случае своевременного обращения к врачу почти всегда удается полностью избавить пациента от последствий расширения субарахноидального пространства. Для успешного лечения необходимо, прежде всего, выявить и устранить причину нарушения циркуляции ликвора.
Если заболевание развилось как последствие отита, энцефалита или менингита, то терапия включает в себя прием антибиотиков или противовирусных препаратов.
Назначение лекарств зависит от природы болезни – вирусной, бактериальной, грибковой, аутоиммунной, устойчивости возбудителя к различным химическим веществам.
В случаях, когда расширение субарахноидального пространства вызвано опухолью, проводится противоопухолевая терапия. Лечение занимает длительное время и в каждом случае подбирается индивидуально.
Женщинам во время беременности и родов необходимо соблюдать рекомендации врача. После рождения ребенка его нужно оберегать от инфекционных болезней и травм, проводить мероприятия по закаливанию и укреплению иммунитета. При появлении любых симптомов заболевания следует проконсультироваться с врачом.
Расширение субарахноидального пространства является следствием нарушения циркуляции ликвора. Заболевание чаще всего диагностируется у детей.
Опасность болезни состоит в том, что в некоторых случаях возможно развитие гидроцефалии с необратимым поражением мозга. Для лечения применяют как консервативные методы, так и хирургическое вмешательство. Своевременно начатая терапия позволяет практически полностью избежать последствий заболевания.

Чем опасна арахноидальная киста и можно ли с ней жить?
В человеческом мозге могут возникать как злокачественные, так и доброкачественные опухоли. К доброкачественным образованиям относится арахноидальная киста (иногда её называют арахноидальной ликворной кистой). В этой статье мы подробно рассмотрим причины, симптомы и методы лечения этого заболевания.
Общие сведения
Итак, что это такое ликворная киста головного мозга? Это шаровидное новообразование, которое заполнено спинномозговой жидкостью (ликвором), собственно по этой причине болезнь и получило такое название.
Арахноидальное пространство
Арахноидальная она по той причине, что располагается в арахноидальной оболочке головного мозга. В том месте, где новообразование формируется оболочка имеет утолщение и разделяется на два лепестка, а жидкость накапливается в щели между этими двумя лепестками.
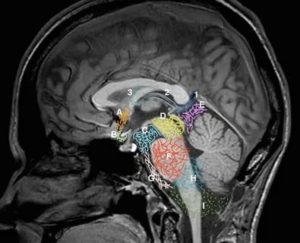
Локализация кисты различна, она может находиться в ямке над турецким седлом либо около области мостомозжечкового угла.
По распространенности данный недуг не является редким, так как от него страдает примерно 3–4% населения земного шара. Однако, ввиду малого объема новообразования многие даже не догадываются о наличии проблемы.
Данной болезни больше подвержены представители мужского пола, чем женщины.
Более того, от данного недуга страдают не только взрослые, но и дети. Развитие подобной кисты у ребенка происходит по тому же сценарию, что и у взрослого человека.
Самое опасное в данном недуге, то что он может длительное время не давать о себе знать и обнаруживают его совершенно случайно, во время планового осмотра или при диагностике другого заболевания.
Классификация
Классификация данного заболевания включает несколько категорий. В частности, по расположению кисты выделяют:
- Арахноидальную кисту головного мозга.
- Ретроцеребеллярную ликворную арахноидальную кисту головного мозга.
Ретроцеребеллярная киста
Главное отличие заключается в том, что арахноидальная ретроцеребеллярная киста находится в глубине головного мозга, в то время как обычная располагается на его поверхности. Основные характеристики этих кист следующие:
- Обычная киста формируется на поверхности, тогда как ретроцеребеллярная образуется внутри мозга в области, где погибло серое вещество.
-
При ретроцеребеллярном типе заболевания головной мозг может подвергаться разрушению даже без хирургического вмешательства, несмотря на то, что киста считается доброкачественным образованием.
-
Прогрессирующие.
- Замершие.
Прогрессирующие кисты продолжают расти и увеличиваться в размерах, в то время как замершие не изменяются. Именно клиническая картина имеет решающее значение при выборе стратегии лечения этого заболевания.
Обычная поверхностная киста
Что касается локализации, существует несколько вариантов образования кисты, включая:
- заднюю черепную ямку;
- правую или левую височную долю (в зависимости от расположения кисты – слева или справа, симптомы могут различаться);
- межполушарную (находится в щели между полушариями головного мозга);
- лобную или теменную область;
- мозжечковую (может находиться как на самом мозжечке, так и в прилегающих к нему участках);
- шишковидную железу.
В любом случае, киста, образовавшаяся внутри черепа, независимо от ее расположения, представляет собой серьезное нарушение и требует незамедлительного лечения. Постепенное увеличение кисты приводит к давлению на определенные участки головного мозга, что, в свою очередь, вызывает развитие неврологических симптомов различной степени тяжести и интенсивности.

Причины
Причины возникновения арохноидальной кисты головного мозга различаются на два типа:
К первичным относят:
- аномалии во время беременности (врожденный тип недуга);
- злоупотребление лекарственными или иными химическими препаратами;
- ведение нездорового образа жизни, что приводит к накоплению в организме вредных веществ;
- облучение радиацией.
Вторичный тип недуга может быть вызван:
- менингит;
- агинезия мозолистого тела;
- травмы головы;
- оперативное вмешательство;
- воспалительные процессы в головном мозге;
- повышение давления цереброспинальной жидкости;
- инсульт;
- краснуха;
- герпес;
- арахноидит;
- энцефалит;
- кровоизлияния в мозг.
Помимо того, кисту может вызвать злоупотребление наркотическими или алкогольными средствами.
Что касается беременных девушек, банальное посещение ими бани или сауны во время беременности может спровоцировать данный недуг, ровно как и частые приемы горячих ванн.
Симптомы
Первичный тип заболевания проявляется уже в детстве, так как киста начинает формироваться на стадии развития плода. В случае детского варианта болезни она может привести к задержке в развитии, нарушениям зрения или психическим расстройствам у маленького пациента.
Сложности с диагностикой чаще всего возникают у взрослых, а что говорить о новорожденных. Ребенок, даже если он ощущает какие-то отклонения, не может сообщить об этом родителям. Вторичный тип заболевания также может развиться у новорожденных или подростков, но это скорее редкость.
Причины появления вторичной ликворной арахноидальной кисты больше характерны для взрослого возраста.
Тем не менее, симптомы в обоих случаях в целом схожи, различаясь лишь по степени выраженности. К основным симптомам относятся:
- повышение внутричерепного давления;
- головные боли;
- тошнота;
- рвота;
- повышенная утомляемость;
- патологическая сонливость;
- эпилептические припадки;
- судороги.
С увеличением массы и объема кисты указанные симптомы могут усиливаться, и к ним могут добавляться следующие признаки:
- неустойчивая походка;
- снижение слуха;
- галлюцинации;
- гемипарезы;
- ощущение тяжести в голове;
- «внутреннее» давление на глазные яблоки (что может привести к ухудшению зрения, двоению в глазах, появлению «темных пятен»);
- вестибулярная атаксия;
- дизартрия;
- потеря сознания.
Опасность заключается не столько в самой кисте, так как в большинстве случаев ее наличие не влияет на самочувствие пациента, сколько в ее разрыве. При разрыве происходит выброс ликвора в головной мозг, что может привести к летальному исходу. Длительное сжатие мозговых структур также вызывает необратимые дегенеративные изменения.
Важно понимать, что наличие заболевания, которое могло спровоцировать арахноидальную кисту, имеет свою симптоматику, и часто эти симптомы пересекаются, что затрудняет диагностику.
Прогноз и профилактика
Прогноз для данного недуга, несмотря на его серьезность, весьма оптимистичен и жизнь после перенесенной операции вполне нормальная. При наличии своевременного лечения пациент восстанавливается полностью. Естественно, если лечения нет или оно некачественное, возможно, возникновение определенных последствий, а в особо запущенных случаях и даже летальный итог.
В норме же больной восстанавливается в течение нескольких недель.
Что касается профилактических мер, то именно, направленных на снижение риска развития кисты, не существует. Однако, имеются общие рекомендации, которые будут способствовать не только снижению риска образования арахноидальной кисты, но и других опухолей, в том числе:
- противопоказание для будущих мам все вредные привычки (особенно курение), так как они могут провоцировать кислородное голодание плода, а это не есть хорошо;
- здоровое питание;
- соблюдение режима труда и отдыха;
- избегание стрессовых ситуаций;
- поддерживать в норме уровень холестерина;
- контроль артериального давления (верхнего и нижнего);
- своевременное и качественное лечение любых воспалительных процессов в организме;
- регулярный профилактический осмотр у врача.
Последствия
Что касается последствий для будущей жизни, они могут проявиться в случае неконтролируемого течения заболевания, включая:
- Неврологические расстройства (утрата чувствительности, нарушения работы внутренних органов на уровне нервной системы).
- Эпилепсия и судорожные приступы.
Таким образом, арахноидальная киста является серьезным и непредсказуемым заболеванием, лечение или наблюдение за которым должно осуществляться исключительно под контролем квалифицированного специалиста. Не усугубляйте свое состояние, обращайтесь за правильным лечением к врачам!
Роль генетических факторов в развитии арахноидальных кист
Арахноидальные кисты представляют собой заполненные жидкостью образования, расположенные в арахноидальной оболочке головного и спинного мозга. Их развитие может быть связано с различными факторами, среди которых генетические играют важную роль. Исследования показывают, что наследственные предрасположенности могут влиять на формирование этих кист, что делает генетические факторы ключевыми в понимании патогенеза данного состояния.
Существует несколько генетических синдромов, ассоциированных с образованием арахноидальных кист. Например, синдром Тарнера и некоторые формы нейрофиброматоза могут сопровождаться наличием арахноидальных кист. Эти состояния часто имеют наследственный характер, что указывает на возможность передачи предрасположенности к образованию кист от родителей к детям.
Кроме того, генетические мутации, влияющие на развитие нервной системы, могут способствовать образованию арахноидальных кист. Например, изменения в генах, отвечающих за клеточную пролиферацию и дифференцировку, могут нарушать нормальное развитие арахноидальной оболочки, что в свою очередь может привести к образованию кист. Исследования показывают, что некоторые мутации в генах, связанных с синтезом белков, участвующих в формировании соединительной ткани, могут быть связаны с повышенным риском развития арахноидальных кист.
Также стоит отметить, что генетические факторы могут взаимодействовать с экологическими и другими факторами, такими как инфекции, травмы или токсические воздействия, что может дополнительно увеличивать риск формирования арахноидальных кист. Например, вирусные инфекции, перенесенные матерью во время беременности, могут повлиять на развитие плода и способствовать образованию кист в арахноидальном пространстве.
Современные молекулярно-генетические исследования позволяют выявлять конкретные генетические маркеры, ассоциированные с арахноидальными кистами. Это открывает новые горизонты для диагностики и прогнозирования развития заболевания, а также для разработки целевых терапевтических стратегий. Понимание генетической предрасположенности к образованию арахноидальных кист может помочь в создании программ скрининга для людей с высоким риском, что, в свою очередь, позволит своевременно выявлять и лечить это состояние.
Вопрос-ответ
Нужно ли удалять арахноидальную кисту?
Лечение не всегда необходимо. Врачи дренируют или удаляют кисты, которые вызывают симптомы. Без лечения арахноидальные кисты могут вызывать повреждение мозга и проблемы с движением.
Что такое арахноидальная киста спинного мозга?
Арахноидальная киста — это ликворная киста позвоночника, которая содержит в своей полости спинномозговую жидкость. Она может быть экстрадуральной, содержащей нервные волокна. Сюда входят кисты из твердой мозговой оболочки (менингеальные) и периневральные кисты крестцового отдела позвоночника (кисты Тарлова).
Советы
СОВЕТ №1
Обратитесь к врачу при первых симптомах. Если вы испытываете головные боли, нарушения зрения или другие неврологические симптомы, не откладывайте визит к специалисту. Ранняя диагностика кистозного расширения может значительно улучшить прогноз.
СОВЕТ №2
Регулярно проходите медицинские обследования. Если у вас есть предрасположенность к заболеваниям нервной системы, важно регулярно проверять состояние здоровья, чтобы вовремя выявить возможные изменения.
СОВЕТ №3
Изучите информацию о возможных методах лечения. Ознакомьтесь с различными подходами к лечению кистозного расширения, включая медикаментозную терапию и хирургические методы, чтобы быть готовым к обсуждению с врачом.
СОВЕТ №4
Поддерживайте здоровый образ жизни. Правильное питание, регулярные физические нагрузки и отказ от вредных привычек могут помочь улучшить общее состояние здоровья и снизить риск осложнений.





